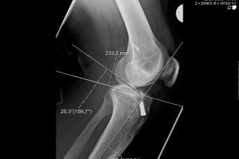
Axis correction

Pathological deformities of the upper or lower leg bones result in incorrect loads on the knee joint, but they can also result in restricted movement. A precise axis analysis, which we can perform with the help of a computer programme, shows us the location of the deformity. This enables us to carry out a correction at the site of the malposition by cutting through the bone (osteotomy) and then stabilise this correction with stable-angle plates. Partial weight-bearing and free mobility is usually possible immediately. Osteotomies close to the knee joint on the upper leg (femur) and lower leg (tibia) have proven successful in the prevention and treatment of osteoarthritis and in the treatment of ligament instabilities.

In paediatric orthopaedics, it is still possible to bring about a straightening of the leg axis by means of growth control. The so-called temporary epiphysiodesis of the growth plates has established itself as a minimally invasive procedure. A small plate is stretched over the growth plate through a small incision in the skin so that it can no longer grow at this point for the duration of the plate insertion and growth only takes place on the opposite side.