Endoprosthetics of the knee joint

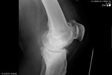
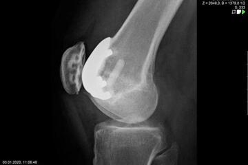
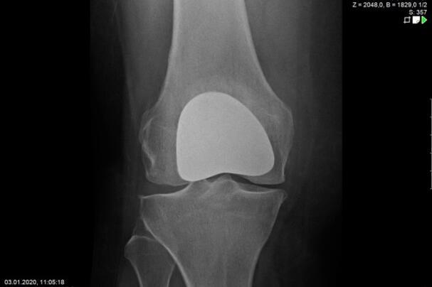
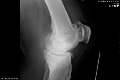
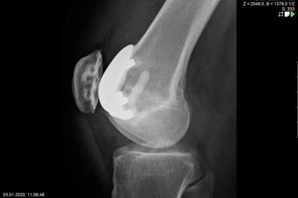
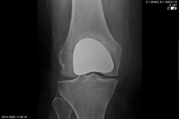
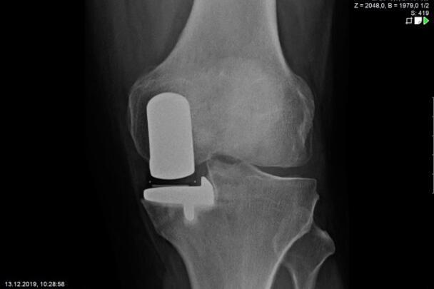
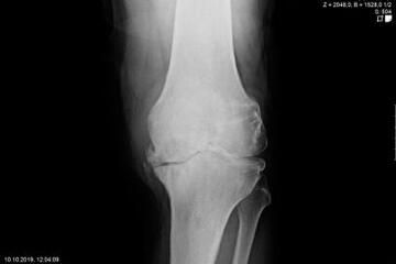
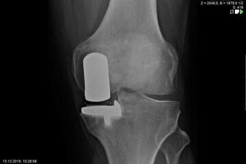
Endoprosthetics of the knee joint is an effective procedure for the treatment of symptomatic advanced wear and tear of the knee joint (gonarthrosis). If the X-ray shows a complete loss of joint space width under load, the complaints persist for more than 6 months, and the conservative therapy options have been exhausted, there is probably an indication for treatment with an artificial joint replacement (endoprosthesis). It must then be clarified which type of prosthesis is required, because today we have a large number of implants available. We distinguish between partial joints and full prostheses, and in the case of full prostheses we again distinguish between the degree of coupling of the prosthesis. If only parts of the joint are affected, only these have to be replaced and partial joints can be used. The so-called sled prostheses on the inner and outer side of the knee joint, as well as the sliding bearing replacement for problems on the kneecap, have both proven themselves effective. With full prostheses, we again differentiate between the degree of coupling of the prosthesis. Anterior and posterior cruciate ligament-supporting prostheses (surface replacement) partially coupled implants that support the inner and outer ligaments and coupled implants for complete loss of knee ligament and capsular function are used. Partially and fully coupled prostheses usually have to be inserted with stem components.

The knee prostheses are usually cemented in place, but cement-free implants are also available, which can be used, for example, in cases of cement allergies or very young patients.