Leistungen des Instituts für Diagnostische und Interventionelle Radiologie Johanniter-Kliniken Hamm

Unsere Kernleistungen

  • Allgemeine Radiologie 
    • CT
    • MRT
    • Röntgen/ Durchleuchtung
    • Ultraschall
  • Interventionelle Radiologie 
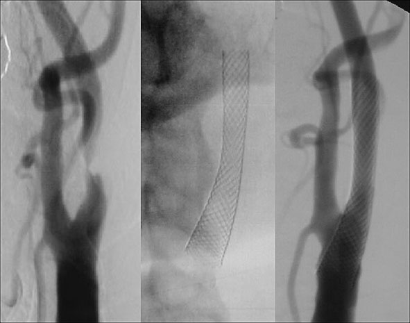
    • Arterielle Interventionen (Ballondilatationen, Stentimplantationen)
      • Extremitäten
      • Organe
      • Malformationen
    • Venöse Interventionen 
      • Thrombosen / Embolektomie 
      • Cavastent
      • Lungenarterienembolietherapie
    • Schmerztherapie der Gelenke und Sehnen
    • Biopsien (Sonographisch, CT, Angiographisch, Stereotaktisch, Multimodal 3D) 
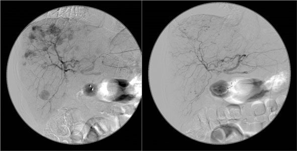
    • Tumortherapie
      • Minimalinvasive Tumorablationen
      • Chemoembolisationen
    • Organinterventionen inkl. 
      • TIPS (transjugulärer portosystemischer (Leber)-Shunt
      • Transjuguläre Biopsien (Leber, Niere, Mediastinal) bei Tumorverdacht und schwieriger Gerinnungssituation)
      • Prostata
      • Uterus-Myome
  • Neuroradiologie
    • Diagnostik 
      • Interventionelle Neuroradiologie
        • Neurothrombektomie (Stroke-/Schlaganfalltherapie)
        • Carotis-Stents und aller Kopf-Hals-Gefäße
  • Spezialbildgebung 
    • Herzbildgebung (CT und MRT)
    • mpProstata-MRT (Multiparametrische Prostata-MRT)
  • Diagnostische - therapeutische Angiografie 
  • Senologische Radiologie
    • Volldigitale Mammographie 
    • Tomosynthese inkl. Biopsie im Liegen und Sitzen
    • Stereotaktische Biopsie inkl. Drahtmarkierung
  • Kinderradiologie
  • (Neuro-)interventionelle (Notfall-)Konsilleistungen (für Zuweiserkliniken Tel.: 02381 18-0)
    • Kontaktaufnahme über das Sekretriat oder im Bereitschaftszeit Dienstarzt – Radiologie (Zentrale

Zurück zum Fachbereich

Interventionelle Radiologie

Diagnostische Radiologie

Sprechstunden

  • Interventionssprechstunde 
  • Aneurysmen, Endoleak
  • Gefäßstenosen 
  • Spezielle Biopsien 
  • Drainage und PEG-Anlagen
  • Schmerztherapie in Kooperation mit der Orthopädie und Neurologie
  • Privatsprechstunde
  • Gefäßkonferenz

Schlaganfall - Was soll ich tun?

Audiodatei

Rund um den Aufenthalt

Erfahren Sie alles rund um Ihren Aufenthalt in unseren Krankenhäusern.

Zum Patientenservice