Knochenbrüche

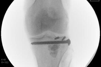
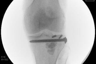
Knochenbrüche am Schienbeinkopf bzw. am Kniegelenk sind seltene Verletzungen, so beträgt die Inzi­denz für Schienbeinkopfbrüche nur ca. 10/100.000 pro Jahr. Bei jungen Patienten liegt meist ein Ra­sanztrauma (Unfall) vor. Bei älteren Patienten können aber auch Bagatellverletzungen, z.B. Umkni­cken, zu schweren Verletzungen  führen. Diese Verletzungen des Kniegelenks bedeuten - da sie die Ge­lenkfläche im Knie zerstören - ein erhöhtes Risiko eine Arthrose (Gelenkverschleiß) zu erleiden. Auch wird das ursprüngliche Sportniveau von den Patienten häufig nicht wieder erreicht. Ziel der Operation ist eine nahezu anatomische Wiederherstellung der Gelenkfläche, der Beinachse und ggf. eine Mitver­sorgung der Begleitverletzungen im Gelenk. Hierzu stehen uns offene, minimalinvasive und arthro­skopische Operationsverfahren zur Verfügung. Stabilisiert werden die Knochenbrüche mit verschie­denen Plattensystemen und/oder freien Schrauben. Zur Stabilisierung ist eine individuelle und bruchspezifische Operationsstrategie nötig. Für die Planung helfen dabei das Röntgenbild, die Computertomographie und ggf. auch die Magnetresonanz-Tomographie.