johanniter.de

Gebrochene Wirbelkörper/ gebrochene Wirbelsäule

  • Osteoporosebedingte Frakturen/ Wirbelbrüche
  • Tumorbedingte Frakturen/ Wirbelbrüche
  • Sturzbedingte Frakturen/ Wirbelbrüche

In unserer Klinik behandeln wir Verletzungen der Wirbelsäule sämtlicher Schweregrade der Hals-, Brust- und Lendenwirbelsäule. Wir verwenden hierbei konservative und wenn notwendig auch operative Behandlungsmethoden. Ob und welche Operation sinnvoll ist, hängt von der Art und der Schwere der Verletzung, den Symptomen und auch den Begleitumständen ab. Deshalb legen wir die Therapie gemeinsam im Behandlungsteam mit der Partnerklinik der Orthopädie / Unfallchirurgie im Haus und natürlich in Abstimmung mit Ihnen fest.

Therapieverfahren

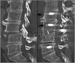
Abbildung 1: Das Bild zeigt eine Luxationsfraktur L3/4 vor und nach operativer Versorgung.

Individuell legen wir fest, ob bei Ihnen ein Operationsverfahren von hinten/ von dorsal, von der Seite/ lateral oder von vorne/ ventral angewendet werden sollte. Manchmal setzen wir auch kombinierte Verfahren ein. Unser Ziel ist dabei immer, die verletzten Wirbelsäulenabschnitte optimal zu rekonstruieren und die neurologischen Funktionen zu erhalten.

Auch Patientinnen und Patienten mit Folgebeschwerden nach Verletzungen der Wirbelsäule sind bei uns an der richtigen Stelle. Hierzu zählen beispielsweise Pseudarthrosen und posttraumatische Fehlstellungen.

Wirbelbrüche bei Osteoporose

Abbildung 2: Das Bild zeigt die Aufrichtung und Zementauffüllung des betroffenen Wirbelkörpers (Kyphoplastie).

Da Wirbelkörperbrüche beim älteren Menschen häufig auch ohne Unfall auftreten können (pathologische Frakturen), liegt unser klinischer Fokus neben der optimalen chirurgischen Therapie auf der Behandlung der zugrunde liegenden Osteoporose, um weiteren Knochenbrüchen vorzubeugen.

Wirbelkörperbrüche sind oft mit starken Rückenschmerzen verbunden. Wenn es trotz Schmerztherapie zu keiner Linderung kommt, ist eine Kyphoplastie, die Aufrichtung und Zementauffüllung des betroffenen Wirbelkörpers, sinnvoll (Abb.). Dieser Eingriff kann über zwei 1 cm lange Hautschnitte erfolgen. Auch hier erlaubt das routinemäßig computergestützte Planungssystem höchste Präzision.

Gerade bei dieser stark zunehmenden Erkrankung ist eine Kenntnis der aktuellen Literatur von größtem Nutzen, um individuell die richtigen Entscheidungen zu treffen. Man muss das gesamte Spektrum der therapeutischen Möglichkeiten kennen, um für die Patientinnen und Patienten die erfolgversprechendste Möglichkeit auszuwählen.